

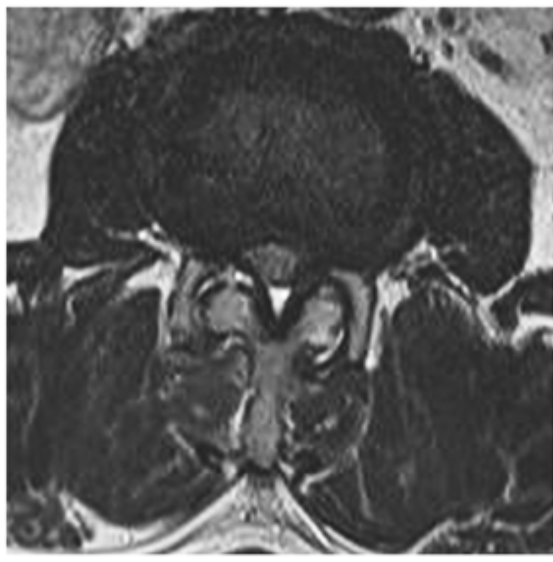
Slide the arrows to see what endoscopic spine surgery can do for your patient (L2-L3 Interlaminar Endoscopic Decompression)
Global Endoscopic Spine Summit - 2026
The Global Endoscopic Spine Summit (GESS) in Mumbai is a premier international forum dedicated to the rapidly evolving field of minimally invasive spine surgery.
With 2 days of cadaver workshops and 2 days of live surgery, an opportunity to learn the latest technological advances in spine surgery is within your grasps.
4th to 7th June, 2026 in Mumbai
Global Endoscopic Spine Summit - 2026
The Global Endoscopic Spine Summit (GESS) in Mumbai is a premier international forum dedicated to the rapidly evolving field of minimally invasive spine surgery.
With 2 days of cadaver workshops and 2 days of live surgery, an opportunity to learn the latest technological advances in spine surgery is within your grasps.
4th to 7th June, 2026 in Mumbai


Slide the arrows to see what endoscopic spine surgery can do for your patient (L2-L3 Interlaminar Endoscopic Decompression)
OUR PAST CONFERENCES
So Whats New With GESS -2026?

2 Cadaver Courses

Dedicated to Endoscopy

International Faculty

National Faculty

Dedicated Lectures

Network Building

Dr. Vinod Agrawal
Organising Secretary
It is my pleasure to welcome you to the Global Endoscopic Spine Summit which occurs at the 10 year anniversary of us starting this endeavour to establish a global partnership in spine surgery. We hope to get more young surgeons involved in minimally invasive spine surgery so that they can pass on these benefits to their patients.
Faculty at GESS - 2026
Can't Wait to Register?
We can't wait to host you either. Click on the link below to go to the conference page and register with use and we will see you in June!














